ENVÍO GRATIS PARA PEDIDOS A PARTIR DE 39 EUROS. 10% DE DESCUENTO A PARTIR DE 20 EUROS DE COMPRA CON EL CÓDIGO: #HELLOREIS.
LA DISPLASIA DE CADERA EN LOS PERROS
La displasia de cadera es una afección ortopédica común en los perros, especialmente en razas grandes y gigantes. Se caracteriza por un desarrollo anormal de la articulación de la cadera, lo que puede llevar a dolor, artritis y problemas de movilidad.
PERROS
10/29/20253 min leer


INTRODUCCIÓN
La displasia de cadera es una afección ortopédica común en los perros, especialmente en razas grandes y gigantes. Se caracteriza por un desarrollo anormal de la articulación de la cadera, lo que puede llevar a dolor, artritis y problemas de movilidad. En este artículo, exploraremos qué es la displasia de cadera, sus causas, síntomas, diagnóstico, tratamiento y prevención.
¿QUÉ ES LA DISPLASIA DE CADERA?
La displasia de cadera es una condición genética en la que la cavidad de la cadera (acetábulo) no se ajusta adecuadamente a la cabeza del fémur. Esto provoca inestabilidad en la articulación, lo que puede resultar en un desgaste prematuro del cartílago y el desarrollo de artritis. La displasia puede variar en severidad desde leve hasta grave.
CAUSAS DE LA DISPLASIA DE CADERA
Las causas de la displasia de cadera son multifactoriales e incluyen:
GENÉTICA: La predisposición genética es uno de los principales factores. Algunas razas son más propensas a desarrollar displasia de cadera, como el Pastor Alemán, el Labrador Retriever, el Golden Retriever y el Rottweiler.
CRECIMIENTO MUY RÁPIDO: Los perros que crecen rápidamente durante su etapa juvenil pueden tener un mayor riesgo de desarrollar esta afección.
DIETA INADECUADA: Una dieta desequilibrada o excesiva en calorías puede contribuir al crecimiento rápido y al aumento de peso, lo que ejerce presión adicional sobre las articulaciones.
FACTORES AMBIENTALES: El ejercicio excesivo o inadecuado durante las etapas críticas del crecimiento también puede influir en el desarrollo de la displasia.
SÍNTOMAS DE DISPLASIA DE CADERA
Los síntomas de la displasia de cadera pueden variar según la gravedad de la afección e incluyen:
COJEO: Puede haber una cojera intermitente o constante en una o ambas patas traseras.
DIFICULTAD PARA LEVANTARSE: Los perros afectados pueden tener problemas para levantarse después de estar acostados o sentados.
RIGIDEZ: Rigidez en las articulaciones después del ejercicio o al despertar.
REDUCCIÓN EN LA ACTIVIDAD: Pueden mostrar menos interés en jugar o realizar actividades físicas que antes disfrutaban.
POSTURA ANORMAL: Algunos perros pueden adoptar posturas inusuales al caminar o correr debido al dolor o malestar.
DIAGNÓSTICO, TRATAMIENTO Y PREVENCIÓN
El diagnóstico de displasia de cadera generalmente implica varios pasos:
HISTORIA CLÍNICA: El veterinario realizará preguntas sobre los síntomas observados y el historial médico del perro.
EXAMEN FÍSICO: Se llevará a cabo un examen físico completo para evaluar el rango de movimiento y detectar signos de dolor.
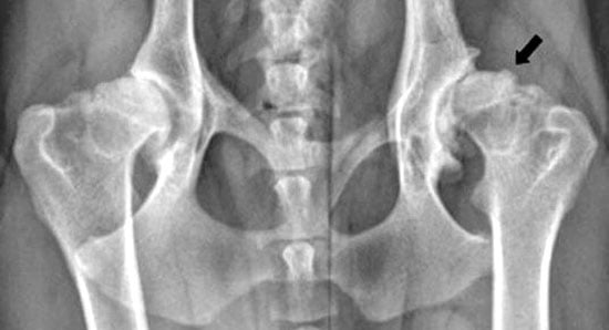
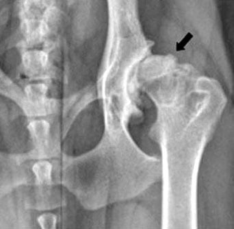
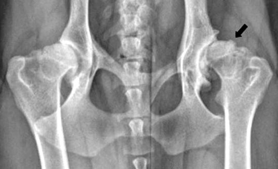
RADIOGRAFÍAS: Las radiografías son esenciales para confirmar el diagnóstico y evaluar la gravedad de la displasia. Estas imágenes permiten observar cómo encajan las estructuras óseas en la articulación.
El tratamiento para la displasia de cadera dependerá de la gravedad del caso e incluirá:
MANEJO DEL DOLOR: Los medicamentos antiinflamatorios no esteroides (AINE) pueden ayudar a controlar el dolor y reducir la inflamación.
CONTROL DEL PESO: Mantener un peso saludable es crucial para reducir la presión sobre las articulaciones afectadas.
EJERCICIO MODERADO: Un programa regular pero controlado de ejercicio puede ayudar a mantener la movilidad sin causar un estrés excesivo en las articulaciones.
FISIOTERAPIA: La fisioterapia puede ser beneficiosa para mejorar el rango de movimiento y fortalecer los músculos alrededor de la articulación afectada.
SUPLEMENTOS NUTRICIONALES: Suplementos como glucosamina y condroitina pueden ayudar a mantener la salud articular y aliviar algunos síntomas.
INTERVENCIÓN QUIRÚRGICA: En casos graves donde hay un daño significativo en las articulaciones, se pueden considerar opciones quirúrgicas como una osteotomía pélvica o reemplazo total de cadera.
Aunque no se puede prevenir completamente la displasia de cadera debido a su naturaleza genética, hay medidas que puedes tomar para reducir el riesgo:
SELECCIÓN RESPONSABLE: Si estás considerando adquirir un cachorro, investiga sobre los antecedentes genéticos y asegúrate de que los padres hayan sido evaluados por displasia de cadera.
DIETA EQUILIBRADA: Proporciona una dieta adecuada con nutrientes balanceados para evitar un crecimiento rápido y mantener un peso saludable.
EJERCICIO ADECUADO: Asegúrate de que tu perro tenga suficiente ejercicio moderado desde una edad temprana sin forzarlo a realizar actividades extenuantes.
CHEQUEOS VETERINARIOS REGULARES: Realiza visitas periódicas al veterinario para monitorear el desarrollo óseo y articular durante las etapas críticas del crecimiento.
CONCLUSIÓN
La displasia de cadera es una afección seria que puede afectar significativamente la calidad de vida del perro si no se maneja adecuadamente. Reconocer los síntomas tempranos y buscar atención veterinaria son pasos cruciales para garantizar un tratamiento efectivo y mejorar el bienestar general del animal. Con un enfoque proactivo hacia su cuidado y manejo, puedes ayudar a tu perro a vivir una vida activa y feliz incluso con esta condición ortopédica. Si tienes alguna preocupación sobre la salud articular de tu perro, no dudes en consultar a un veterinario especializado para obtener orientación profesional adecuada.
